Endodontie
Ein Zahn ist aus mehreren unterschiedlichen Gewebeschichten aufgebaut. Die Zahnkrone ist vom Zahnschmelz, der härtesten Substanz im menschlichen Körper, überzogen. Darunter liegt als Hauptbestandteil des Zahns, das weniger harte Zahnbein. Diese auch als Dentin bezeichnete Substanz umschließt das Zahninnere, Der Zahnnerv (Pulpa) liegt in der nervenhöhle und im Wurzelkanal, enthält feinste Blutgefäße und Nerven, durchzieht den ganzen Zahn bis zur Wurzelspitze und ist hier in Verbindung mit dem Blutkreislauf.
Die Endodontie („im Zahn“) befasst sich als Teilgebiet der Zahnheilkunde mit dem Zahninneren, den Erkrankungen der Zahnpulpa. Zum Aufgabengebiet eines Endodontologen gehört die Behandlung „toter“ oder traumatisierter Zähne, Wurzelkanalbehandlungen sowie Wurzelspitzenresektionen. Wurzelkanalbehandlungen haben immer zum Ziel, den Zahnerhalt zu sichern.
Wann muss ein Zahn endodontisch behandelt werden?
Entzündungen im Zahninneren können Pulpa und den Wurzelspitzenbereich betreffen. Auslöser sind meist bakterien, die in das innere Zahngewebe eindringen und sich hier ausbreiten. Derartige Entzündungen sind sehr häufig Ursache von heftigen Zahnschmerzen und erfordern eine zügige Wurzelkanalbehandlung. Auch Zahnverletzungen durch einen Unfall können zu Entzündungen oder Infektionen im Zahninneren führen.
Wie wird ein Zahn endodontisch behandelt?
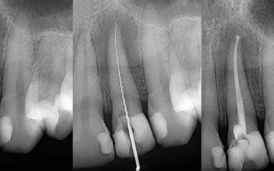
Voraussetzung für eine belastbare Diagnose ist die Anfertigung einer Röntgenaufnahme von Zähnen und Kieferknochen,. Im Mittelpunkt einer endodontischen Therapie liegt die Behandlung des Wurzelkanals. Der Zahnarzt benutzt spezielle feine Instrumente und Feilen, mit denen er den Wurzelkanal aufbereitet und erweitert. Dies erfolgt in mehreren Arbeitsgängen mit präzisen Auf- und Abwärtsbewegungen der rotierenden Instrumente, ist sehr zeitaufwändig und erfordert ein gutes Fingerspitzengefühl des Zahnarztes. Denn die Wurzelkanäle sind nicht immer gerade angelegt, sondern können auch gebogen sein. Dies erschwert die Aufbereitung des Wurzelkanals. Röntgenbilder geben Aufschluss über Länge und Form der einzelnen Wurzelkanäle und das Ausmaß der Entzündung. Anschließend muss der präparierte Kanal gründlich mit desinfizierenden Lösungen gespült und durchgängig gemacht werden, um entzündetes Gewebe und Bakterien zu entfernen. Zum Abschluss trocknet der Zahnarzt den Kanal mit feinen Papierspitzen und versiegelt ihn mit speziellen Füllmaterialien, wie z.B. Guttapercha-stiften und Pasten oder Zement, um ein erneutes Eindringen von Bakterien zu verhindern.
Die Endodontie („im Zahn“) befasst sich als Teilgebiet der Zahnheilkunde mit dem Zahninneren, den Erkrankungen der Zahnpulpa. Zum Aufgabengebiet eines Endodontologen gehört die Behandlung „toter“ oder traumatisierter Zähne, Wurzelkanalbehandlungen sowie Wurzelspitzenresektionen. Wurzelkanalbehandlungen haben immer zum Ziel, den Zahnerhalt zu sichern.
Wann muss ein Zahn endodontisch behandelt werden?
Entzündungen im Zahninneren können Pulpa und den Wurzelspitzenbereich betreffen. Auslöser sind meist bakterien, die in das innere Zahngewebe eindringen und sich hier ausbreiten. Derartige Entzündungen sind sehr häufig Ursache von heftigen Zahnschmerzen und erfordern eine zügige Wurzelkanalbehandlung. Auch Zahnverletzungen durch einen Unfall können zu Entzündungen oder Infektionen im Zahninneren führen.
Wie wird ein Zahn endodontisch behandelt?
Voraussetzung für eine belastbare Diagnose ist die Anfertigung einer Röntgenaufnahme von Zähnen und Kieferknochen,. Im Mittelpunkt einer endodontischen Therapie liegt die Behandlung des Wurzelkanals. Der Zahnarzt benutzt spezielle feine Instrumente und Feilen, mit denen er den Wurzelkanal aufbereitet und erweitert. Dies erfolgt in mehreren Arbeitsgängen mit präzisen Auf- und Abwärtsbewegungen der rotierenden Instrumente, ist sehr zeitaufwändig und erfordert ein gutes Fingerspitzengefühl des Zahnarztes. Denn die Wurzelkanäle sind nicht immer gerade angelegt, sondern können auch gebogen sein. Dies erschwert die Aufbereitung des Wurzelkanals. Röntgenbilder geben Aufschluss über Länge und Form der einzelnen Wurzelkanäle und das Ausmaß der Entzündung. Anschließend muss der präparierte Kanal gründlich mit desinfizierenden Lösungen gespült und durchgängig gemacht werden, um entzündetes Gewebe und Bakterien zu entfernen. Zum Abschluss trocknet der Zahnarzt den Kanal mit feinen Papierspitzen und versiegelt ihn mit speziellen Füllmaterialien, wie z.B. Guttapercha-stiften und Pasten oder Zement, um ein erneutes Eindringen von Bakterien zu verhindern.


