Prophylaxe
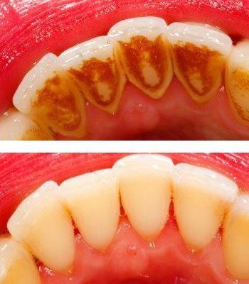
Hinter der professionellen Zahnreinigung verbirgt sich eine Maßnahme, die ein Hauptaspekt der individuellen zahnmedizinischen Prophylaxe oder Vorbeugung ist. Charakteristisch für die professionelle Zahnreinigung ist das mechanische Säubern der Zähne. Im Endeffekt können die bei der häuslichen Mundpflege auftretenden Defizite oder Mängel ausgeglichen werden. Darüber hinaus geht eine professionelle Zahnreinigung tiefer in die Substanz, als das beim Zähneputzen möglich ist. Die Notwendigkeit der professionellen Zahnreinigung ergibt sich daraus, das die auf den Zähnen befindlichen Ablagerungen nicht in ausreichendem Umfang entfernt werden können. Plaque, wie diese Beläge bezeichnet werden, sind Biofilme, in denen Bakterien enthalten sind, die gemeinsam mit Kohlenhydraten und den produzierten Zellgiften die Zähne schädigen. Es kommt zu Zahnkaries beziehungsweise Zahnfäule und/oder zu Entzündungen des Zahnfleisches beziehungsweise einer Gingivitis. Ein mangelhaftes Entfernen der Beläge begünstigt außerdem Zahnstein, der eine Parodontitis mit Abbau von Knochensubstanz begünstigt. Selbst bei gründlichster und intensivster Zahnpflege bleiben immer noch Reste von Plaque in den Zahnzwischenräumen und in den Fissuren erhalten. Außerdem lagert sich Zahnstein auch in den Zahntaschen ab. Feste Beläge, die sich oberhalb des Zahnfleischrandes manifestiert haben, werden als Zahnstein bezeichnet. Zahnstein entsteht durch einen Verkalkungsprozess. Dieser hängt unter anderem von der Beschaffenheit des Speichels, der Zahnpflege und der Flüssigkeitsaufnahme ab. Alle unter dem Zahnfleisch liegenden Ablagerungen werden in der Zahnmedizin als sogenannte Konkremente bezeichnet.
Die Wirkung der professionellen Zahnreinigung ist unbestritten hoch. Das beweisen aktuelle Studien. Die Zähne lassen sich dadurch sogar um winzige Nuancen aufhellen. Die professionelle Zahnreinigung sollte am besten zweimal jährlich, bei Parodontitis-Patienten auch häufiger, von einer ausgebildeten Dentalhygienikerin oder einer prophylaxeassistentin vorgenommen werden. Dabei reinigt die Fachkraft jeden Zahn sehr gründlich und kommt auch in die problematischen Bereiche, wo eine Zahnbürste keine zufriedenstellenden Resultate liefern kann. Sowohl für Menschen mit gesunden Zähnen als auch für Patientinnen und Patienten mit Zahnspangen, Zahnersatz wie Zahnkronen, -brücken und -implantaten ist eine professionelle Zahnreinigung vorteilhaft. Insbesondere ältere Menschen, die ihre echten Zähne und fest sitzenden Zahnersatz aufgrund körperlicher Defizite nicht effizient reinigen können, stellt eine Professionelle Zahnreinigung eine sinnvolle und notwendige ergänzung ihrer Mundhygiene dar.
Die Wirkung der professionellen Zahnreinigung ist unbestritten hoch. Das beweisen aktuelle Studien. Die Zähne lassen sich dadurch sogar um winzige Nuancen aufhellen. Die professionelle Zahnreinigung sollte am besten zweimal jährlich, bei Parodontitis-Patienten auch häufiger, von einer ausgebildeten Dentalhygienikerin oder einer prophylaxeassistentin vorgenommen werden. Dabei reinigt die Fachkraft jeden Zahn sehr gründlich und kommt auch in die problematischen Bereiche, wo eine Zahnbürste keine zufriedenstellenden Resultate liefern kann. Sowohl für Menschen mit gesunden Zähnen als auch für Patientinnen und Patienten mit Zahnspangen, Zahnersatz wie Zahnkronen, -brücken und -implantaten ist eine professionelle Zahnreinigung vorteilhaft. Insbesondere ältere Menschen, die ihre echten Zähne und fest sitzenden Zahnersatz aufgrund körperlicher Defizite nicht effizient reinigen können, stellt eine Professionelle Zahnreinigung eine sinnvolle und notwendige ergänzung ihrer Mundhygiene dar.


