Veneers
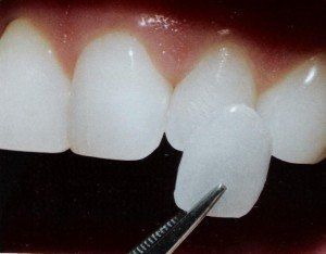
ein Veneer oder Verblendschale ist eine hauchdünne, lichtdurchlässige Keramikschale für die Zähne, die mit Spezialkleber auf die Zahnoberfläche, in der regel von Frontzähnen, aufgebracht wird. das veneer besteht aus Keramik. Abgesehen von seltenen Allergien gegen das Befestigungsmaterial, stellt der Einsatz von Keramik-Veneers in der Regel keine gesundheitliche Gefährdung dar, weil das Keramikmaterial eine sehr hohe Bioverträglichkeit hat. Außerdem ist das Risiko einer chronischen Pulpitis (Zahnmarkentzündung) aufgrund der minimalinvasiven präparation nahezu ausgeschlossen, Mit Veneers können leichte Zahnfehlstellungen, Zahnlücken, unbefriedigende Zahnfarben und lokale Verfärbungen korrigiert werden. Durch Veneers erhalten die sichtbaren Oberflächen der Zähne ein optimiertes Aussehen. die Zahnfarbe kann bei diesem Verfahren individuell korrigiert werden. In der Regel werden bei ihrem Einsatz alte Kunststofffüllungen oder Eckenaufbauten entfernt. Vorliegende klinische Langzeituntersuchungen belegen, dass innerhalb von sechs Jahren nur zwei Prozent der Keramik-Veneers verloren gehen. Diese positive Bilanz macht das Veneer zu einer attraktiven alternative zu kunststoffrestaurationen und Kronen.


